گزارش ارتباط صنعت و دانشگاه/ تامین و تغذیه مولدین در پرورش آبزیان

این روزها تعامل دو نهاد صنعت و دانشگاه جهت استفاده از دانش تخصص و تجربیات پررنگتر شده و حضور صنعت و دانشگاه مکمل یکدیگر است.
از همین رو روابط عمومی دانشگاه خلیج فارس گزارشی خلاصه از یکی از فعالیت های اعضای هیات علمی این دانشگاه در ارتباط با صنعت تهیه نموده است.
تامین و تغذیه مولدین در پرورش آبزیان
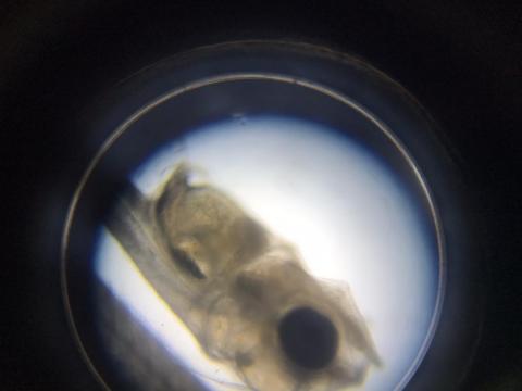
دکتر وحید مرشدی، عضو هیات علمی پژوهشکده خلیج فارس در گفتوگو با خبرنگار واحد روابط عمومی دانشگاه خلیج فارس از فعالیت خود تحت عنوان فرصت مطالعاتی و ارتباط با صنعت گفت: روند تکثیر ماهیان دارای قسمتهای مختلفی است که یکی از بخش های عمده آن، بخش تامین مولدین و تغذیه مولدین است یعنی بازهای که از یک ماهی مولد تخم و لارو گرفته میشود.
وی، مدیریت ماهی مولد از تخم گیری تا تبدیل به لارو را حیاتی و مهم خواند و گفت با این دید تصمیم به مدیریت تغذیه مولدین گرفته شد. تغذیه مولد را با غذای تر و با استفاده از مکمل ها و ویتامین ها را به مدت 2 ماه یعنی از اوایل دی ماه تا اواخر بهمن ماه برای داشتن یک لارو با کیفیت آغاز کردیم. همچنین تلاش کردیم برای افزایش میزان بازماندگی لارو به دنبال ایجاد ایمنی زیستی در کارگاه تکثیر بودیم به همین منظور؛ ساختارهای کلر زنی را اصلاح کردیم و با فیلترگذاری در طول مسیرآب، کیفیت آب را بالا بردیم.
وی با اشاره به کامل نبودن آنزیم ها و اندام های گوارشی و ریز بودن اندازه و غذای خشک فرموله (زیر نیم میلیمتر)، غذادهی لارو ماهیان دریایی را از مهمترین بخش های تکثیر ماهیان دریایی عنوان کرد که ابتدا با غذاهای زنده مانند مثل جلبک، روتیفر و آرتمیا انجام می گیرد و سپس به صورت تدریجی از غذای زنده به غذای خشک تغییر می کند.
ایشان عنوان کردند: که برای برطرف شدن نیاز لارو به دنبال غنیساز بودیم، به دلیل قیمت بالای ارز و به دلیل نوسان قیمت ارز، تهیه غنی سازها در صنعت آبزی پروری بسیار دشوار است بنابراین؛ برآن شدیم در این طرح یک غنیساز را با مواد موجود در کشور و در مقیاس آزمایشگاهی و با همکاری صندوق حمایت از پژوهشگران و فناوران کشور بسازیم که جواب مثبت گرفتیم به همین منظور در شرکت زرین میگوی نصر نیز از همان غنی ساز در اشل تجاری استفاده نمودیم و یکسری پروتکلهای تغذیه را با همین غنیسازی انجام دادیم برای این غنیساز یک پنجاهم قیمت جهانی هزینه شده اگرچه با گونههای موجود خارجی فاصله زیادی دارد اما موفق شدیم در قدم اول بسیار خوب عمل کنیم.
مدیرعامل شرکت زرین میگوی نصر نیز در گفت و گو با خبرنگار واحد روبط عمومی دانشگاه خلیج فارس گفت: در زمینه افزایش بازماندگی لارو ماهیان در ماهیان دریایی خلیج فارس از دکتر مرشدی خواستیم به مدت شش ماه در ایستگاه پرورش شرکت ما مستقر شود و این یعنی از اول دوره تخم ریزی تا آماده سازی و پس از آن، که خدا را شکر نتیجه خوبی گرفتیم و استفاده از غنیسازها باعث بازدهی بیشتر در تولید لارو ماهیان شدند ما نتایج این فعالیت مثبت را بر روی تولید امسال خود مشاهده کردیم.

وی با اشاره به غنیسازهای دستی گفت یکی از عمدهترین مشکلاتی که غنیسازهای دستی دارند تولید روغن هست چرا که روغن و چربی در سطح آب حوضچههای پرورش لارو باقی می ماند و به راحتی حذف نمی شود که ما برای رفع این معضل دستگاه اسکیمر سطحی را با همکاری دکتر مرشدی طراحی و وارد آب کردیم تا چربی جمع آوری شود وآب تمیزی داشتیم که این خود بسیار موثر بود و یکی از تجارب خوب مجموعه ما با دانشگاه خلیج فارس و دکتر مرشدی بوده است.
تغییر رنگ تانک های پرورش ماهی سی باس آسیایی و مقایسه اثرات پرورش ماهی سیباس آسیایی در آب شور و شیرین
دکتر مرشدی، از تغییر رنگ تانک ها در پرورش ماهی سی باس آسیایی و مقایسه اثرات پرورش ماهی سی باس در آب شور شیرین یاد کرد و گفت: یکی از مطالعاتی که توسط کشورهای دیگر انجام شده تغییر رنگ تانک های پرورش ماهیان بوده است ما نیز پروژه ای را برای مطالعه و تحقیق بر روی گونه های ماهی سیباس آسیایی تعریف کردیم که آیا این تغییر رنگ میتواند موثر باشد یا نه؟
وی، افزود؛ طی قرار دادی با شرکت زرین میگوی نصر، در ایستگاه تحقیقات آبزیان دریایی و در پژوهشکده خلیج فارس مطالعاتی را انجام دادیم و چهار رنگ سفید، سیاه، قرمزو آبی را در نظر گرفتیم و مطالعات خود با آزمایش تغییر رنگ تانکهای فایبرگلاس ۳۰۰ لیتری شروع کردیم. پیرو تحقیقات جهانی باز هم رنگ قرمز بهترین رنگ پیشنهاد داده شد و طرح دیگری هم به عنوان مقایسه اثرات پرورش ماهی سی باس آسیایی در آب شور شیرین برای شرکت آبزیان صالح اروند که در سایت پرورش میگو چوئبده آبادان مستقر است و پرورش ماهی را در استخرهای خاکی برعهده دارد انجام شد.
وحید مرشدی یادآور شد: با توجه به اینکه این سایت در گذشته سایت پرورش میگو بوده اما به دلیل مشکلاتی که بیماری لکه سفید در اوایل دهه هشتاد برای صنعت پرورش میگو به وجود آورد، رفته رفته تعدادی از این شرکتها فعالیت شان را بر روی پرورش ماهی سی باس آسیایی ادامه دادند. نظر به اینکه آب مورد نیاز در این سایت از طریق یکی از شاخههای رودخانه بهمن شیر آبادان تامین میشود و نگرانی ها برای ادامه کار وجود داشت که آیا میشود در آب لب شور پرورش ماهیان سی باس آسیایی را داشت؟ و ما هم برای امکانسنجی پرورش ماهی با استفاده از آب شیرین و شور در ایستگاه تحقیقات آبزیان دریایی و در پژوهشکده خلیج فارس مطالعاتی را در تانکهای فایبرگلاس 10۰۰ لیتری شروع کرده و جمع بندی پروژه را تحت یک گزارش به شرکت تحویل دادیم.


Log in to post comments